La periodontitis es una infección de los tejidos que sostienen los dientes, causada por malos hábitos de cepillado y uso incorrecto del hilo dental, lo que permite la acumulación de placa bacteriana. En etapas avanzadas, puede causar dolor, sangrado de encías, molestias al masticar y pérdida de dientes. Desde Rio Clínica Dental, dentista en Madrid, te contamos todo sobre como evitar la periodontitis en tus encías.
Tipos de enfermedades periodontales
Gingivitis
La gingivitis es la fase inicial de la enfermedad periodontal, provocada por la acumulación de placa bacteriana. La placa está compuesta por bacterias y residuos que se pegan a los dientes. Si no se elimina correctamente, se transforma en sarro, que irrita e inflama las encías. Los síntomas más comunes son enrojecimiento y sangrado de las encías. La gingivitis es una afección reversible, pero si no se trata adecuadamente, puede avanzar y convertirse en periodontitis.
Periodontitis
La periodontitis es una enfermedad periodontal grave e irreversible que afecta entre el 15% y el 20% de los adultos de entre 35 y 44 años, según la Organización Mundial de la Salud. A diferencia de la gingivitis, la periodontitis se caracteriza por la pérdida estructural del aparato de inserción. Es la principal causa de la caída de dientes en adultos y su incidencia aumenta durante la adolescencia.
Síntomas de la enfermedad periodontal
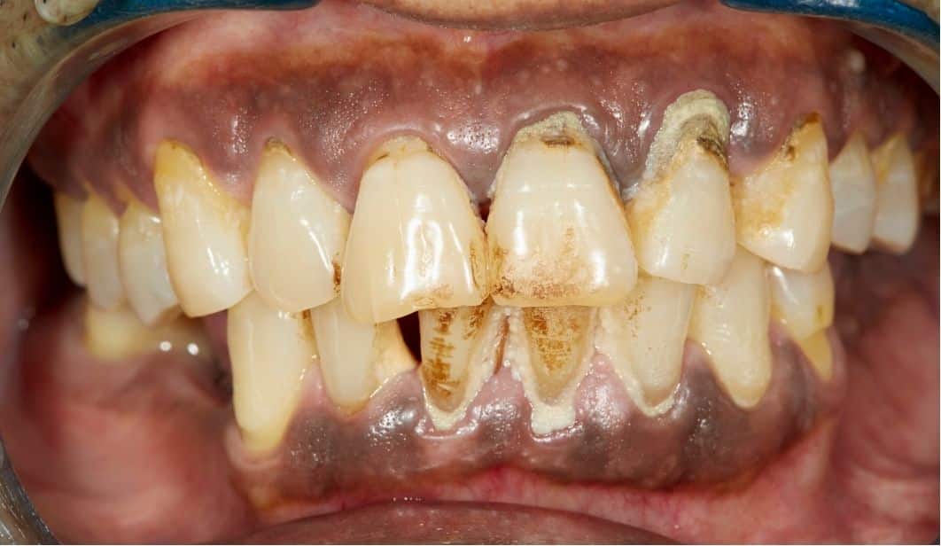
La enfermedad periodontal puede producir tanto dolores agudos como molestias continuas debido a la inflamación de las encías. Los síntomas incluyen encías inflamadas, sangrantes, retraídas o con alteraciones de color. Además, se puede notar sensibilidad excesiva en los dientes y dolor al masticar. En casos avanzados, pueden aparecer huecos entre los dientes, movilidad dental y pérdida prematura de dientes.
Causas de la enfermedad periodontal
La principal causa de la enfermedad periodontal es una mala higiene oral que permite la acumulación de placa bacteriana, la cual se transforma en sarro y provoca la inflamación de las encías (gingivitis). Existen factores de riesgo como malos hábitos alimenticios, el tabaquismo y la diabetes, que pueden acelerar la evolución de la enfermedad.
Formación de placa y sarro
La placa se forma en los dientes cuando los almidones y azúcares de los alimentos interactúan con las bacterias presentes en la boca. Cepillarse los dientes dos veces al día y usar hilo dental una vez al día remueve la placa, pero esta se vuelve a formar rápidamente. Si no se elimina, la placa puede endurecerse bajo la línea de la encía y convertirse en sarro dental (tártaro), el cual es más difícil de eliminar y está lleno de bacterias.
Evolución de la gingivitis a periodontitis
La placa puede provocar gingivitis, la forma más leve de la enfermedad periodontal. La gingivitis es la irritación e inflamación del tejido de la encía que rodea la base de los dientes. Puede revertirse con tratamiento profesional y buen cuidado bucal en casa. La inflamación continua puede llevar a la periodontitis, donde se forman bolsas entre las encías y los dientes, llenas de placa, sarro y bacterias. Estas bolsas se profundizan con el tiempo, acumulando más bacterias y, si no se tratan, causan pérdida de tejido y hueso, y eventualmente la pérdida de dientes. Además, la inflamación crónica puede sobrecargar el sistema inmunitario.

Tratamiento para evitar la periodontitis en tus encías
El tratamiento para evitar la periodontitis en tus encías varía según el estado de la patología. El dentista realizará una evaluación y pautará el plan de tratamiento más adecuado. Si la enfermedad está en una fase inicial, es necesario eliminar las bacterias acumuladas mediante una limpieza dental profesional realizada por un dentista o higienista dental.
Raspado y alisado radicular
El tratamiento de las encías, o raspado y alisado radicular, lo realiza un periodoncista bajo anestesia local, por lo que el paciente no sentirá dolor ni molestias. Este tratamiento utiliza instrumentos llamados curetas para eliminar la placa y el sarro del espacio entre los dientes y la encía. A veces, se aplican técnicas de regeneración ósea. Si las encías están muy retraídas, puede ser necesaria una cirugía periodontal con injertos para cubrir la parte deteriorada.
Prevención y hábitos saludables
Es fundamental mantener buenos hábitos de higiene oral y evitar el tabaco para evitar la periodontitis . Cepillarse los dientes al menos dos veces al día, usar hilo dental diariamente y realizar limpiezas profesionales anuales son medidas efectivas para prevenir o detectar a tiempo cualquier tipo de enfermedad periodontal.
¿Es doloroso el tratamiento?
El tratamiento periodontal se realiza bajo anestesia local, por lo que no se siente dolor ni molestias durante el procedimiento. Los efectos del tratamiento son prácticamente instantáneos, mejorando la condición de las encías en pocas horas.
Desde Rio Clínica Dental, tu dentista en Madrid, te recomendamos mantener una buena higiene bucal, hábitos alimenticios saludables, evitar el tabaco y acudir frecuentemente al dentista. Realizar al menos una limpieza profesional al año es crucial para cuidar la boca y para evitar la periodontitis o detectar cualquier tipo de enfermedad periodontal a tiempo. Llámanos! ☎️ 91 498 66 50 para reservar una cita y hacerte tu próxima limpieza dental.

Comentarios recientes